قناة صدى البلد البلد سبورت صدى البلد جامعات صدى البلد عقارات Sada Elbalad english
عاجل
english EN
الإشراف العام
إلهام أبو الفتح
رئيس التحرير
طه جبريل
الإشراف العام
إلهام أبو الفتح
رئيس التحرير
طه جبريل

أمر غير متوقع.. النوم يغسل الدماغ بسائل منظف.. فيديو

0|أحمد شريف

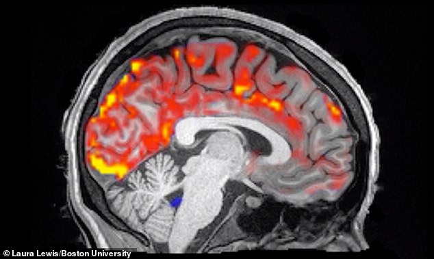
اكتشف العلماء أن المخ يُغسل بسائل منظف عندما يخلد الإنسان إلى النوم، وهذا الأمر يقيه من مرض الخرف.

في دراسة، اجريت اختبار على 13 من أدمغة الشباب أثناء نومهم، رأى الباحثون في جامعة بوسطن شيئًا "مذهلًا".

وأوضحت الدراسة التي نشرتها صحيفة "ديلي ميل" البريطانية، أن خلال ساعات النوم يندفع السائل النخاعي إلى المخ كل 20 ثانية أو نحو ذلك في موجات نبضية.

ويعتقد أن السائل النخاعي، وهو سائل صافٍ موجود أيضًا في العمود الفقري، يطرد المواد السامة التي تشارك في تطور الخرف.

لأول مرة، تمكَّن العلماء من التقاط العملية بالصور، ويأملون أن تمهد الطريق لفهم أمراض الدماغ.