قناة صدى البلد البلد سبورت صدى البلد جامعات صدى البلد عقارات Sada Elbalad english
عاجل
english EN
الإشراف العام
إلهام أبو الفتح
رئيس التحرير
طه جبريل
الإشراف العام
إلهام أبو الفتح
رئيس التحرير
طه جبريل

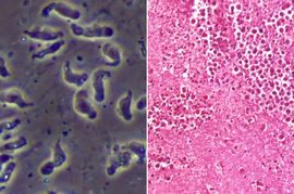
بكتيريا قاتلة تتسبب في تآكل الدماغ تظهر بأمريكا.. تفاصيل

0|احمد شريف

قالت وزارة الصحة بولاية فلوريدا الأمريكية، إن مريضا في مقاطعة هيلزبره بالولايات المتحدة أصيب بعدوى الأميبا القاتلة التي تحملها المياه.



وفقًا للخبراء ، تصيب الأميبا الدماغ في عملية تسمى التهاب السحايا والدماغ الأميبي الأولى (PAM) ، التي تدمر الأنسجة.



ووفقًا لصحيفة ديلي ستار، عادة ما تكون الإصابة بالأميبا قاتلة.



وقال متحدث باسم وزارة الصحة: ​​"يمكن أن تحدث العدوى عندما تدخل المياه الملوثة الجسم عبر الأنف".



وأضاف: "تحدث العدوى عادة عندما تزداد درجات الحرارة لفترات طويلة من الزمن ، مما يؤدي إلى ارتفاع درجات حرارة المياه وانخفاض مستويات المياه".