سافر مواطن ألماني الجنسية إلى تركيا في إبريل الماضي لإجراء عملية تبييض اسنان بسيطة وذلك بعد ترشيح أحد أصدقائه له لطبيب تركي يقوم بإجراء تلك العملية في تركيا بسعر أرخص كثيرا من الأسعار الموجودة في ألمانيا.
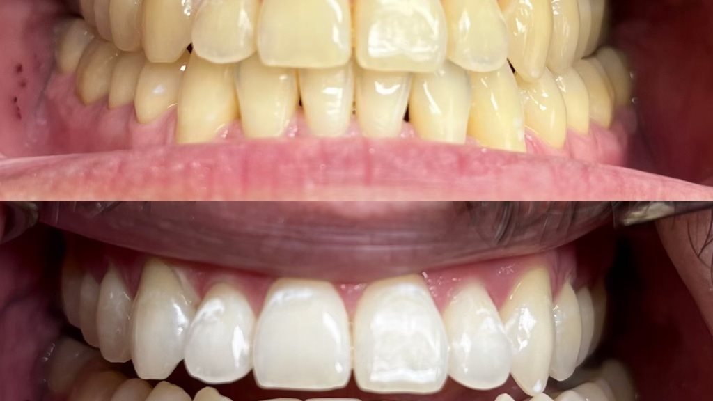
وفقا لما ورد في صحيفة "ديلي يستار"، فإن رجلا ألمانيا قام بإجراء عملية تبييض أسنان في تركيا منذ حوالي 6 أشهر ولكن فشلت تلك العملية مع مرور الوقت وتحولت أسنانه إلى أسوأ مما كانت عليه قبل العملية.
قال الرجل إنه لم يكن يرغب في السفر لإجراء تلك العملية في تركيا، و كان سيستلسم للأمر الواقع في ألمانيا و سيقوم بإجرائها في أي مستشفى، و لكن حينما علم أحد أصدقائه برغبته فيها قام بترشيح طبيب أسنان في تركيا يقوم بإجراء تلك العمليات و بسعر أقل من الذي كان سيدفعه في ألمانيا .

قرر الرجل أن يستفيد من فارق المبلغ بين ألمانيا و تركيا، سافر لإجراء عملية تبييض لأسنانه و في البداية كان مبهورا بنجاح تلك العملية، لأنه كان يطمح في الحصول على ابتسامة براقة و لامعة و التي يسميها البعض " هوليوود سمايل ".

جدير بالذكر أن الرجل أوضح أنه مع مرور الوقت، تحولت أسنانه من الاصفرار إلى اللون الداكن منها وأصبحت محدبة أكثر مما مضى و ذلك حينما اختفى مفعول العملية التي دمرت أسنان ذلك الرجل.