6 نصائح لحماية الأسنان .. تعرف عليها

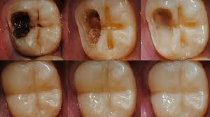
يقع العديد من الأشخاص فى أخطاء كارثية تؤدى لتلف الأسنان ويستمر هؤلاء الأشخاص فى المعاناة من آلامها، فإذا كنت من ضمن هؤلاء، كشف موقع هيلث "عن أفضل 5 نصائح لحماية الأسنان والحفاظ عليها من التلف، فهى تمثل أهمية كبيرة للجسم ليس من الناحية الجمالية فقط وإنما من الناحية الصحية، فهى تساعد على تحطيم الطعام من أجل سهولة هضمه واستفادة الجسم منه.5 نصائح لحماية الأسنان :
• الابتعاد التام عن تناول المشروبات الغازية التى تحتوي على نسب عالية من السكر المسبب للتسوس لذا يجب تجنبها.
• الحلوى والأطعمة المحتوية على السكر بشكل كبير، يجب الامتناع عنها.
• مضمضة الفم بالماء عدة مرات يوميًا للتخلص من بقايا الطعام التي تجلب البكتيريا.
• يتبع العديد من الأشخاص حيلة الأسبرين والمسكنات عن طريقة وضعها على الضرس فهذا خطأ .
• المداومة على غسل الأسنان بالمعجون والفرشاة .
. المداومة على استعمال الخيط الطبي للأسنان .