قناة صدى البلد البلد سبورت صدى البلد جامعات صدى البلد عقارات Sada Elbalad english
english EN
الإشراف العام
إلهام أبو الفتح
رئيس التحرير
طه جبريل
الإشراف العام
إلهام أبو الفتح
رئيس التحرير
طه جبريل

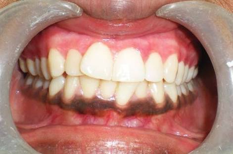
تغير لون اللثة دليل إصابتك بأحد هذه الأمراض الخطيرة

0|سلمى الوردجي

نلاحظ تغير لون اللثة عن اللون الوردي الطبيعي لدى بعض الناس، ويتجاهل الكثيرون هذا التغير في لون اللثة أو لا ينتبهون له ، إلا أن الدكتورة هبة الحاتي إخصائية جراحة الفك والأسنان ، تقول إنه لابد من ملاحظة التغيرات التي قد تطرأ على لون اللثة فهي دائمًا ما تكون دلالة على الإصابة بأحد هذه الأمراض الخطيرة:

- سرطان الفم:
واحد من الأمراض الخطيرة التي تتسبب في تغير لون اللثة ، حيث أنه يجعل اللثة تتصبغ باللون الرمادي

- مرض الأنيميا:
تتسبب الاصابة بمرض الأنيميا في تصبغ اللثة باللون الأبيض ، وذلك نتيجة فقر الدم

- التهابات اللثة:
والتي غالبًا ما ينتج عن هذه الالتهابات تساقط الأسنان واحدًا تلو الآخر ، حيث يكون لونها أحمر داكنا.

- إصابة اللثة بالبكتيريا:
ان اصابة الأسنان بالبكتيريا أو الفطريات يأتي بسبب ضعف مناعة الجسم ، وهو ما يمثل خطورة على صحة الانسان ، وإصابته بأمراض عديدة خطيرة ومعدية