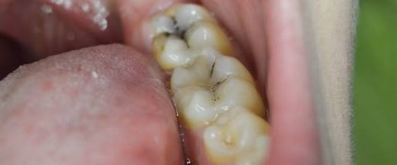
يُعد تسوس الأسنان من أكثر المشكلات الصحية شيوعًا حول العالم، ويصيب الأطفال والبالغين على حد سواء.
ما هو تسوس الأسنان؟
ووفقًا لموقع Cleveland Clinic، يحدث التسوس نتيجة تفاعل البكتيريا مع بقايا الطعام داخل الفم، مما يؤدي إلى تآكل طبقة مينا الأسنان تدريجيًا إذا لم يتم التعامل معه مبكرًا.
ويعد تسوس الأسنان هو تلف تدريجي في مينا الأسنان، ينتج عن أحماض تُفرزها البكتيريا الموجودة في الفم عند تغذيتها على السكريات والنشويات، ومع الوقت قد يصل التسوس إلى الطبقات العميقة مسببًا الألم والالتهابات.

أسباب تسوس الأسنان الشائعة
وهناك بعض الاسباب وراء حدوث تسوس الاسنان الشائعة، ومن بينها ما يلي :
ـ الإفراط في تناول السكريات, الحلويات المشروبات الغازية، العصائر المحلاة، وتشير الدراسات إلى أن السكر هو الوقود الأساسي للبكتيريا المسببة للتسوس.
ـ إهمال تنظيف الأسنان بشكل يومي، وعدم استخدام خيط الأسنان، يتسبب في تراكم البلاك على الأسنان

ـ قلة إفراز اللعاب
اللعاب يساعد على، تنظيف الفم طبيعيًا، معادلة الأحماض، قلة اللعاب تزيد خطر التسوس، خاصة أثناء النوم.
ـ تناول الوجبات الخفيفة بشكل متكرر خاصة الأطعمة السكرية، يمنح البكتيريا فرصة دائمة لإنتاج الأحماض.
ـ عدم زيارة طبيب الأسنان بانتظام؛ حيث ان الفحوصات الدورية تساعد على اكتشاف التسوس في مراحله المبكرة قبل تفاقمه.

كيف يمكن الوقاية من تسوس الأسنان بعادات صحية بسيطة؟
ـ تنظيف الأسنان مرتين يوميًا باستخدام معجون يحتوي على الفلورايد
لمدة لا تقل عن دقيقتين.
ـ استخدام خيط الأسنان يوميًا يساعد خيط الأسنان على إزالة بقايا الطعام بين الأسنان التي لا تصل إليها الفرشاة.
ـ تقليل السكر في النظام الغذائي استبدال الحلويات بالفواكه، ةتجنب المشروبات السكرية.

ـ شرب الماء بانتظام يحفز إفراز اللعاب، ويساعد على تنظيف الفم من البكتيريا
ـ زيارة طبيب الأسنان كل 6 أشهر حتى في حالة عدم وجود ألم، للفحص والتنظيف الوقائي.
ـ استخدام غسول الفم
يساعد على تقليل البكتيريا، تقوية مينا الأسنان

تحذير من إهمال غسيل الأسنان
وقد يتسبب إهمال تسوس الأسنان قد يؤدي إلى:
ـ التهابات اللثة
ـ فقدان الأسنان
ـ التهابات قد تصل إلى الفك

