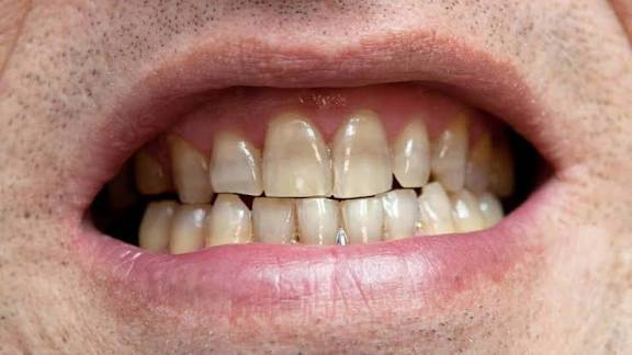
هناك عدد من المشروبات اليومية الشائعة التي يمكن أن تسبّب اصفرار الأسنان مع مرور الوقت، بسبب احتوائها على مركّبات ملوّنة ومواد حمضية تُضعف المينا.
مشروبات تسبب اصفرار الأسنان
ورغم انتشار وسائل التبييض التجارية، فقد كشف Medical News Today، وHealthline بأن هناك حلول منزلية طبيعية تساهم في استعادة بياض الأسنان دون ضرر عند استخدامها بشكل صحيح، مع تجنب المشروبات التي تسبب أصفرار الاسنان، ومن بينها:
ـ القهوة والشاي:
تحتوي على “التانينات” التي تلتصق بمينا الأسنان وتسبب تصبّغات واضحة، خاصة عند الاستهلاك اليومي.
ـ المشروبات الغازية الداكنة (الكولا):
غنية بالألوان الصناعية والمواد الحمضية، ما يزيد من مسامية المينا ويسمح بتراكم البقع.

ـ النبيذ الأحمر:
واحد من أكثر المشروبات التي تلتصق بالأسنان بسبب مزيج التانينات والأصباغ الداكنة.
ـ العصائر الحمضية:
تزيد من تآكل المينا، ما يجعل طبقة الدنتين الصفراء تظهر بشكل أوضح.

طرق طبيعية فعّالة لعلاج اصفرار الأسنان
ـ بيكربونات الصودا (Baking Soda):
تعمل كمادة مقشّرة لطيفة تساعد في إزالة التصبّغات السطحية، ويمكن استخدامها باعتدال ضمن معجون الأسنان.
ـ بيروكسيد الهيدروجين المخفّف:
يساعد في تفتيح البقع الخارجية عند استخدامه بنسب منخفضة، سواء كمضمضة مخفّفة أو مع بيكربونات الصودا.

ـ المضمضة :
المضمضة بزيت جوز الهند لمدة 10–20 دقيقة يومياً تُساهم في تقليل البكتيريا وتحسين مظهر الأسنان.
ـ تناول الفواكه والخضروات النيئة:
مثل الفراولة والجزر والكرفس، والتي تعمل كـ“فرشاة طبيعية” تزيل بعض التصبّغات مع المضغ.
ـ الوقاية اليومية:
عند شرب المشروبات الملونة يجب غسل الفم بالماء بعدها، والانتظار 30 دقيقة قبل تنظيف الأسنان إذا كان المشروب حمضياً.

